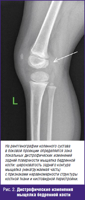
Рентген Коленного Сустава Цена Навигация по записям Ванна Стальная 150х70 Купить В Москве Плитка Армстронг Купить В Екатеринбурге